Long-term tooth replacement with specialist surgical care in Sydney
Dental Implants Sydney
Tooth and dental implant surgery performed by a qualified Oral & Maxillofacial Surgeon. Treatment is carefully planned to provide a long-term replacement option for missing teeth.
Specialist teeth and dental implant practice with over 18 years of experience.
Experience the pinnacle of expertise and the smoothest recoveries in Dental Implant Surgery Sydney.
Our practice has provided comprehensive dental implant treatment for over a decade from single tooth replacement to full-arch solutions
Every case is carefully planned using modern imaging to assess bone structure, guide placement and ensure long term dental implant stability.Â
With two established clinics we focus on
- Tailoring care to each patient’s needs.
- Clear communication.
- Highest level of surgical proficiency.Â
Dr Kristian Van Mourik Associations & Accreditations
What Are Tooth Implants/Dental Implants?
Tooth implants, also called dental implants are a tooth replacement system which can replace one or more missing teeth.  Dental implants are designed to replicated both the tooth and it’s root. Making them the closest alternative to natural teeth in appearance, function, comfort and long term strength.
A crown
This is an artificial tooth that fits over the screw and is shaped like your missing tooth.
An abutment
This is a small metal post which joins the screw to the artificial tooth.
A titanium screw
This is implanted in the bone of your jaw replaces the root of your missing tooth. The screw fuses with the bone forming a strong and stable platform for the replacement tooth after 3 to 6 months.
If you’ve lost several teeth in a row, you may need a bridge with a titanium implant on either end and a row of artificial teeth (attached to each other) bridging the gap.
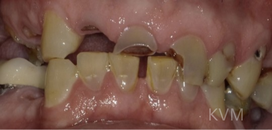
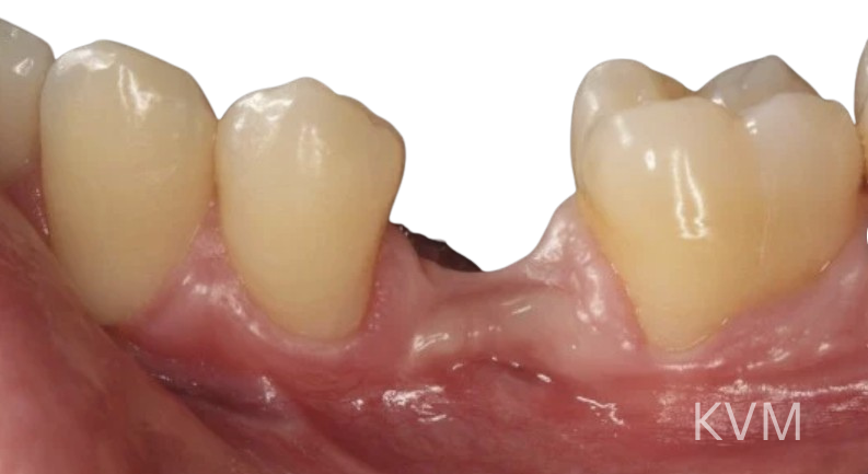
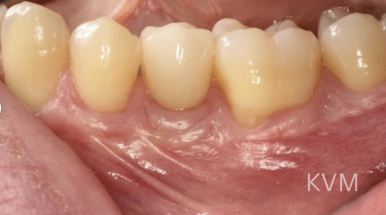
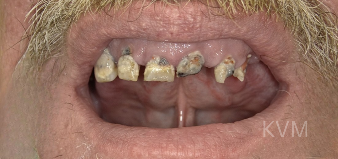
Dental Implants Before and After


Frank - Anterior implant bridge


Sara - Central incisor


Bev - All on 4


Richard - Central incisor


Andrew - First molar


Tom – All on 4


Charlie – All on 4


Sam – All on 4


Kate – All on 4
Grace - Implant bridge top anterior to molar
Susan - Front incisor
Harry - Top molar and premolar
Problems Caused By Missing Teeth
Tooth loss can affect both oral health and overall wellbeing. Many Sydney patients choose dental implants to restore comfort, confidence, and function after experiencing:
Difficulty chewing
Missing teeth can make it harder to eat comfortably and may affect diet choices.
Changes to speech
Spaces in the mouth sometimes alter the way words are pronounced.
Bone loss
Without tooth roots, the jawbone can gradually shrink, affecting appearance and limiting future treatment options.
Shifting of nearby teeth
When a tooth is missing, surrounding teeth can drift into the space, changing bite alignment and increasing wear.
Jaw strain and imbalance
An uneven bite places extra pressure on the jaw joints (TMJ), sometimes leading to pain or stiffness.
Reduced confidence
Missing teeth can make people feel self-conscious about smiling or eating in public. Replacing them helps restore a natural look — and confidence.
Dental Implants Pros and Cons
Dental implants are considered to be the closest alternative to natural teeth, offering a durable, long-term solution for tooth replacement. Like any other procedure, implants come with both advantages and challenges. Below is a breakdown of their benefits and potential downsides.
Pros
- Restores full chewing and speaking ability
- Mimics the look and feel of natural teeth
- Fixed in place—no adhesives needed
- Helps preserve jawbone and prevents further bone deterioration
- Highly durable, potentially lasting decades
- Does not affect or damage adjacent teeth
Cons
- More costly than removable options like dentures
- Requires surgery, often under sedation
- Fixed in place—no adhesives needed Recovery can take several months
- Implant crown cannot be placed until healing is complete (3–6 months), with temporary crowns used for visible teeth
- Requires sufficient bone density; bone grafting may be needed for some patients
- Permanent Paresthesia: Nerve damage leading to lasting numbness or tingling in the lips, chin, or gums.
- Sinus Issues: Upper jaw implants may breach the sinus cavity, causing infections or discomfort.
Types of Dental Implant Treatments
The ideal dental implant treatment depends on factors such as the number of missing teeth, their location, and the condition of your jawbone. Below is an overview of treatment options and their suitability for replacing single, multiple, or all teeth.

Single Dental Implants
Best for one or a few missing teeth that aren’t next to each other. A single titanium implant is placed in the jawbone and topped with a custom-made crown. Restores natural appearance and full function.

All-on-4 Dental Implants
Designed for patients missing most or all upper or lower teeth. Uses four implants (two straight, two angled) to support a fixed bridge of up to 12 teeth. Often avoids bone grafting, even with bone loss. Bridge can be attached within days for fast restoration.

Full Mouth Dental Implants
Ideal for patients missing all or most teeth in both jaws who still have good bone density. Uses up to eight implants per jaw, placed vertically. Provides a strong, long-term solution for full-mouth restoration.

Implant-Supported Dentures
A removable option that still feels stable and secure. Usually supported by two titanium implants at the front of the jaw. Dentures snap on and off, giving flexibility and confidence.

Zygomatic Dental Implants
For patients with severe upper jaw bone loss who want to avoid bone grafts or sinus lifts. Longer implants (30–55mm) are anchored into the cheekbone (zygoma). Provides excellent stability and results when performed by a skilled surgeon.
How Long Do Dental Implants Last?
With good oral hygiene and regular professional cleans, they can remain strong and functional for decades — often a lifetime.
The titanium implant (the part anchored in the jawbone) usually stays stable as long as the bone stays healthy.
In rare cases, implant failure can occur if the body rejects it — but a new implant can often be placed once healing is complete.
The crown or bridge attached to the implant typically lasts 5–20 years, depending on materials and care.
Longevity starts with surgical expertise.
Dr. Kristian van Mourik is a Specialist Oral & Maxillofacial Surgeon with advanced training in implant surgery.
He works exclusively with world-leading implant systems, Straumann and Nobel Biocare, to deliver natural-looking, durable results that stand the test of time.
Dental Implant Process
Step by Step
Dental implants require careful planning and precision by your surgeon. When in experienced hands the process is smooth and straightforward for patients. Here is an overview of what dental implant treatment involves.Â
Step 1: Consultation
At your first visit, Dr. van Mourik will perform a thorough examination of your teeth and gums, including X-rays and 3D scans. He’ll review your medical history, assess bone volume and density, and evaluate nearby blood vessels, sinuses and nerves to confirm if dental implants are right for you.
You’ll have the chance to discuss alternative treatments, ask questions, and receive a detailed treatment plan if implants are the best option.
Step 2: Treatment Planning
Using advanced software, Dr. van Mourik carefully plans the precise placement of your implants to maximize bone support and avoid critical structures like sinuses, blood vessels, and nerves.
During this phase, your replacement tooth or bridge is custom-designed to blend seamlessly with your smile and function naturally.
Step 3: Implant Placement
The titanium implant is placed in a minor surgical procedure, typically under local anesthesia in Dr. van Mourik’s office. For more complex cases, general anesthesia at a day hospital may be an option.
Once the implant is secured in your jawbone, you can usually leave right after the procedure, though day surgery patients will need about an hour to recover.
Mild discomfort may occur, manageable with over-the-counter pain relief.
Step 4: Healing and Restoration
The implant fuses with your jawbone through a process called osseointegration, which takes 3–6 months.
At the one-month check-up, a healing cap is placed to shape the gum tissue neatly. If the implant is in a visible area, a temporary tooth may be provided during healing.
Once fully healed, your permanent crown or bridge is attached by your referring dentist and you will be taught how to clean and care for your new teeth.
How long does tooth implant surgery take?
The duration of a dental implant procedure varies based on the number of implants, the complexity of your case, and the surgeon’s expertise.
With Dr. van Mourik’s extensive experience and hundreds of successful implant placements each year, a single implant can often be completed in 5 to 20 minutes.
More complex cases, such as those involving multiple implants or bone grafting, may require additional time.
Will I be awake during the procedure?
Due to Dr. van Mourik’s extensive experience in dental implant procedures, most patients remain awake and comfortable with local anesthesia, which completely numbs the treatment area.
For those feeling anxious, we offer sedation to help you relax during the procedure.
For more complex cases performed in a day hospital, a general anesthetic is administered by a fully qualified anesthetist. Dr van Mourik operates exclusively with Fellows of the Australian and New Zealand College of Anesthetists (FANZCA) to ensure the highest standards of safety and comfort throughout your treatment.
Recovery After Dental Implants
Day surgery – Most dental implant procedures are completed as day surgery. If intravenous sedation or general anaesthesia is used, you will need someone to take you home. For procedures under local anaesthetic, many patients can drive themselves afterwards.
Pain management – Some discomfort and swelling are expected in the first few days. Most patients manage well with common pain relief such as Panadol® or Nurofen®. Cold compresses may also help reduce swelling.
Work or school – Recovery time varies. Many patients take two to three days off before returning to normal activities, while more complex cases may require additional rest. Healing continues for several weeks as the implant bonds with the bone.
Stitches – Dissolving stitches are used in most cases and usually disappear within one to two weeks.
Diet – Soft foods are recommended for the first few days. As comfort improves, you can gradually return to a normal diet.
Follow-up – A review is scheduled with Dr van Mourik’s team to monitor healing and provide further guidance as needed.
Dr van Mourik will provide detailed post-operative instructions during your consultation. Following these carefully helps reduce risks and supports safe recovery.
Â
How to Look After Your Dental Implant
With the right care, dental implants can last a lifetime. Looking after them is almost the same as caring for your natural teeth.
Implant Care Tips
Brush twice daily for two minutes using a soft-bristled or electric toothbrush.
Clean between teeth daily with floss or interdental brushes to remove plaque and food debris.
Replace your toothbrush every few months for effective cleaning.
Use antibacterial mouthwash once or twice a day to reduce bacteria around the implant.
Avoid hard or sticky foods that could stress or damage the implant.
Don’t smoke — it can weaken bone and reduce implant success.
Visit your dentist or hygienist every six months for a professional clean and check-up.
Following these simple steps helps keep your implants strong, healthy, and long-lasting.
Teeth and Dental Implants Before and After


















Cost of Dental Implants in Sydney
The cost of dental implant treatment varies depending on several factors, including:
- How many teeth need to be replaced
- Complexity of the procedure
- Bone quality and whether grafting is required
- Type of anaesthesia or sedation used
Whether the surgery is performed in-clinic or in hospital
Medicare provides a rebate for part of the initial consultation and may cover some hospital-related fees if your procedure is performed in an accredited facility.
If an anaesthetist is required, Medicare and private health insurance will also contribute to their fees — although some out-of-pocket expenses will still apply.
After your consultation, you’ll receive a detailed written quote with item numbers, allowing you to check with your private health fund to confirm available rebates and out-of-pocket costs.
While price is an important consideration, it’s equally important to choose an experienced Oral & Maxillofacial Surgeon who can perform your dental implant procedure safely and provide clear guidance for your recovery.
Why Seeing a Specialist Oral and Maxillofacial Surgeon Matters
Â
Dental implant surgery is a delicate procedure that requires surgical precision and anatomical knowledge. Â
Oral and Maxillofacial Surgeons have the highest level of training and skills in dental implant surgery, having qualified as a surgeon, a doctor and a dentist.
The benefits of specialists care:
- Expert precision: Surgery performed efficiently and to the highest technical standard
- Faster recovery: Less trauma to surrounding tissue and bone
- Lower risk of complications: Reduced chance of infection or implant failure
- Comprehensive care: Surgeons are trained to manage any complications, should they occur
Long-term results: Treatment guided by the latest medical and dental research
Trust an Oral and Maxillofacial Surgeon for the best outcomes for your dental implant.
Meet Dr Kristian van Mourik
Meet Dr Kristian van Mourik
Dr Kristian van Mourik is a fully qualified Oral & Maxillofacial Surgeon with advanced training in medicine, dentistry, and surgery. He is among the few surgeons in Australia to hold dual qualifications in both medicine and dentistry, alongside specialist surgical training.
His academic background includes:
- Bachelor of Biomedicine – Monash University
- Bachelor of Dentistry with Honours – University of Sydney
- Bachelor of Medicine / Bachelor of Surgery – University of Sydney
With more than 15 years of practice in Sydney, Dr van Mourik has extensive experience in procedures such as dental implants, wisdom tooth removal, corrective jaw surgery, treatment of facial trauma, and oral pathology.
He is registered with both the Medical Board of Australia and the Dental Board of Australia as a specialist Oral & Maxillofacial Surgeon, and has trained and worked in leading hospitals. His practice maintains a strong focus on evidence-based treatment, patient education, and comprehensive surgical care.
Dental Implants FAQs Sydney
Who is best suited for dental implant treatment?
Anyone who is in reasonably good health who needs a solution for missing teeth can be a candidate for dental implants, from older teens to adults in their seventies or eighties. The main requirements are healthy gums and sufficient jawbone to support the implant.Â
If you have missing teeth and a solid bone structure, you’re likely a suitable candidate for dental implants Sydney.
How old is too old for dental implants?
Dental implants are suitable for patients of nearly all ages. In rare cases, certain medical conditions may affect the procedure, but your suitability will always be carefully assessed before treatment begin
During your consultation, Dr. Van Mourik will discuss the advantages and disadvantages of tooth implants Sydney and evaluate whether you are a suitable candidate for the procedure.
What if there isn’t enough bone to support the implants?
Dental implants rely on sufficient bone volume and quality to ensure a stable foundation. If your jawbone is inadequate to support an implant, various bone grafting techniques are available, or zygomatic implants may be considered for the upper jaw. Â
Dr. Van Mourik, a leading specialist in tooth implants in Sydney, is highly skilled in the latest surgical techniques. He provides tailored solutions to maximise your chances of successful implant placement, even in cases where bone conditions are less than ideal.
How long do dental implants last?
Dental implants are designed as a long-term tooth replacement. With good oral hygiene, regular check-ups, and healthy surrounding bone, they can last for many years. Longevity varies between individuals, but many Sydney patients report enjoying stable function for decades. Your surgeon will discuss factors that may influence implant lifespan, including bone density, lifestyle habits, and medical conditions.
What are the risks of dental implant surgery?
As with any surgical procedure, risks are present. For dental implants, these may include infection, implant failure, or injury to surrounding structures such as nerves or sinuses. These complications are uncommon, and careful planning with 3D imaging helps reduce risks. At your consultation, Dr van Mourik will outline potential complications specific to your case and explain how they are managed.
What happens if I don’t replace my missing teeth?
Leaving a gap in your mouth from a missing tooth can lead to significant issues. Surrounding teeth may shift out of alignment, resulting in crooked teeth or unsightly gaps in your smile. If teeth are missing your chewing forces are not evenly distributed around your mouth, this can lead to gum disease, jaw joint paint, excessive wear and fracture of existing teeth and even further tooth loss. Additionally, the presence of teeth provides stimulation to your jaw bone, lack of jawbone stimulation can result in bone loss over time, this will change your appearance and can lead to a hallowing, aged appearance. Â
Tooth implants in Sydney offer a reliable solution to restore your smile and prevent these problems, providing a stable and lasting foundation.
Is dental implant surgery painful?
Implants are placed under anaesthesia, which may be local anaesthetic, intravenous sedation, or general anaesthesia depending on your needs. This ensures comfort during the procedure. Some swelling or discomfort afterwards is expected, but most Sydney patients find this manageable with Panadol®, Nurofen®, and cold compresses. Detailed aftercare instructions are provided to support recovery.
Can dental implants replace multiple teeth or full dentures?
Yes. Dental implants can be used to replace a single missing tooth, several teeth, or an entire arch. Options such as All-on-4 implants in Sydney allow a full set of teeth to be supported by as few as four implants. This approach is often chosen by patients who want a fixed alternative to removable dentures. Your treatment plan will be tailored to your needs following a thorough consultation.
Is wisdom tooth removal different in Sydney compared to other areas?
The procedure itself is the same, but Sydney patients benefit from access to Oral & Maxillofacial Surgeons who regularly perform complex extractions in hospital and clinical settings. Having two clinics one in Bondi Junction and one in Lindfield — provides convenient access for patients across the Eastern Suburbs and North Shore.
Does private health insurance cover dental implants in Sydney?
Depending on your extras cover, private health insurance may pay for part of your dental implant treatment in Sydney. Coverage varies. We will provide you with an itemised quote so you can contact your insurer to confirm what’s included and whether waiting periods apply.
We can also discuss finance options and payment plans to help you access affordable dental implants Sydney.
What is the normal recovery time for dental implants?
Recovery usually takes 3–6 months. This can vary depending on your health, healing ability, and the complexity of your dental implant surgery in Sydney.
At your consultation, we’ll explain the best dental implant Sydney recovery care steps.
What should I avoid after dental implant surgery?
After your dental implant it’s best to avoid hot food and drinks while you’re still numb to prevent accidental burns. For the first few days, you should also avoid strenuous activity and hard foods to support proper healing. After this initial period, you can gradually return to your normal diet and activities.
During your appointment, we’ll discuss your best dental implant Sydney post-operation care tips and advice.
How should I care for myself after dental implant surgery?
Wait until the local anaesthetic has fully worn off before eating. Avoid hot food and drinks, and try not to touch the implant site with your tongue or fingers. In the early stages, stick to soft foods to protect the area. Once the initial healing period of a couple of days has passed, you can gradually return to your normal diet and activities.
During your appointment, we’ll discuss the best dental implant Sydney post-operation care tips and advice tailored to your recovery.
Can I eat normally after dental implant surgery?
Wait until the local anaesthetic has completely worn off before eating — if hungry, start with a cool smoothie. Once the numbness has passed, follow a soft diet for the first few days to weeks after implant surgery, then gradually reintroduce harder foods as healing progresses.
During your visit, we’ll review the best dental implant Sydney aftercare guidelines in detail.
Can I brush my teeth after implant surgery?
Yes, you can brush your teeth carefully after dental implant surgery. Use a soft toothbrush and avoid brushing directly over the surgical area in the first few days.
In your appointment we will cover the best dental implant Sydney post-surgery care advice.
Do dental implants require special care?
Dental implants don’t need extensive care. They can be maintained just like natural teeth — with daily brushing, flossing, and regular dental visits.
At your appointment, we’ll go over the best dental implant Sydney post-operative care guidelines.
Can food get stuck under dental implants?
Yes, food can sometimes get trapped around implants. To protect your new dental implants, avoid sticky foods and regularly clean between your teeth every day with dental floss or interdental brushes to remove plaque and food particles
How often do dental implants need to be checked?
We recommend having your dental implants checked and thoroughly cleaned by your dentist or hygienist every 3–6 months to ensure they stay healthy and secure.
Sydney Areas We Service for Dental Implants
Dental implant surgery available across Eastern Suburbs Sydney and North Shore Sydney
- Bondi
- Bronte
- Clovelly
- Coogee
- Randwick
- Paddington
- Woollahra
- Double Bay
- Bellevue Hill
- Tamarama
- Waverley
- Surrounding Eastern Suburbs
- Roseville
- Chatswood
- Killara
- Gordon
- Pymble
- Turramurra
- St Ives
- Wahroonga
- Hornsby
- Willoughby
- Castle Cove
- Other North Shore suburbs
Our Sydney Clinics
Bondi Junction Dental Implant Clinic
Located in the heart of the Eastern Suburbs, our Bondi Junction clinic is easily accessible by train, bus, and nearby parking.
Lindfield Dental Implant Clinic
Conveniently positioned on the North Shore, our Lindfield clinic is close to public transport and offers parking options nearby.
